Cancer pulmonar - studiu de caz
Doresc sa aflu mai multe detalii
Camp Obligatoriu
Camp Obligatoriu
Camp Obligatoriu
Eroare procesare - ReCaptcha nu a fost validat
This site is protected by reCAPTCHA and the Google
Privacy Policy and
Terms of Service apply.
Prezentare caz cancer bronhopulmonar:
Pacientul M.L. in varsta de 56 ani, fumator de 40 ani, 20PA, s-a prezentat in clinica noastra pe data de 30.11.2022, cu diagnosticul de adenocarcinom pulmonar (neoplasm pulmonar) la nivelul lobului pulmonar superior stang, o tumora in stadiul IIIC, de dimensiuni mari T3, cu invazie ganglionara si mediastinala. Cazul a fost prezentat in Comisia Oncologica Multidisciplinara a clinicii noastre, unde s-a decis initierea tratamentului oncologic. Tumora fiind avansata loco-regional, era exclusa interventia chirurgicala in acest stadiu de boala (cancer pulmonar inoperabil).
Astfel, in perioada 5.12.2022 – 26.01.2023, pacientul a efectuat radioterapie externa cu fotoni, tehnica VMAT-CBCT, pana la doza totala DT = 66 GY/volum tinta formatiune tumorala pulmonara, un numar total de 33 fractii, concomitent cu administrarea saptamanala de polichimioterapie de radiosensibilizare, cu toleranta foarte buna.
Pacientul a finalizat cu bine tratamentul oncologic, fara reactii adverse notabile, iar acum este monitorizat in clinica noastra post-tratament.
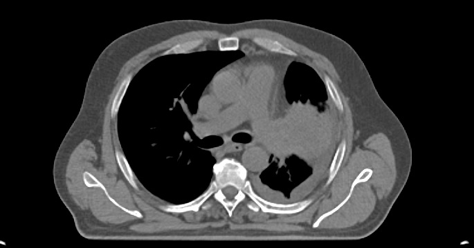
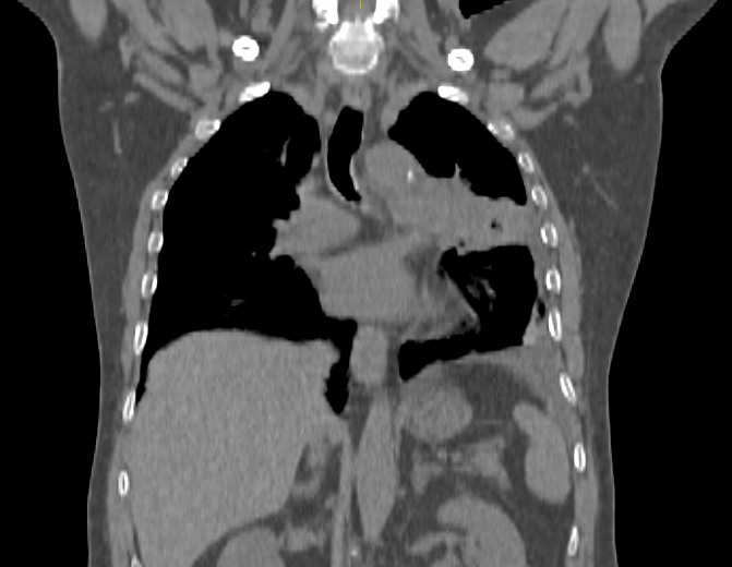
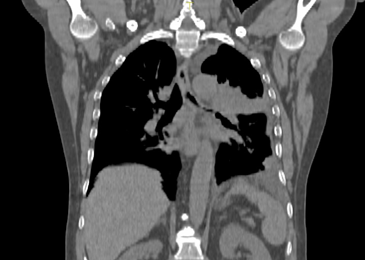
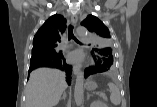
Prezentam acest caz la scurt timp dupa finalizarea tratamentului (tratament cancer pulmonar), deoarece acesta este un caz fericit, la care s-a observat un raspuns aproape total chiar din timpul tratamentului RT, imaginile CBCT efectuate la inceputul, in timpul si la finalul tratamentului RT, pe care le atasam, aratand clar un raspuns extraordinar de bun la tratamentul efectuat.







Progresele tehnologice in radioterapie, care au avansat foarte mult in ultimii ani,incorporand acum tomografie computerizata de ultima generatie, tehnici de tratament care permit planificarea unui plan de tratament cu scopul de a imbunatati distributia dozei catre pacient si in cazul abaterilor anatomice sau fiziologice de la simularea initiala, ofera astazi o iradiere extrem de performanta. Cu alte cuvinte, iradierea astazi poate urmari o tumora aflata in miscare in timpul tratamentului, precum intalnim in tesutul pulmonar, sau o tumora care mansoneaza un vas de sange, si este capabila a iradia tesutul tinta, cu protejarea tesutului adiacent sanatos.
Generalitati despre cancerul pulmonar:
Cancerul bronho-pulmonar(cancer la plamani) are incidenta si mortalitatea cea mai mare din lume. Prognosticul (sanse vindecare cancer pulmonar) este rezervat, cu supravietuire de doar 15% la 5 ani. In Romania sunt diagnosticate anual peste 12000 cazuri. Este un cancer mai frecvent la barbati, decat la femei, dar raportul a inceput in ultimii ani sa scada, cu o varsta medie de 50 ani la barbati si peste 60 ani la femei. Insa in ultimii ani, terapiile noi oncologice au adus beneficii considerabile in supravietuire, existand din ce in ce mai multe cazuri de cancer pulmonar vindecate.
Cancer pulmonar: simptome, factori de risc si preventie
Cancerul bronho-pulmonar este o tumora de extrema gravitate, pentru care semnele clinice apar intotdeauna tardiv, cu evolutie asimptomatica in majoritatea cazurilor. Putini pacienti sunt diagnosticati in fazele incipiente ale bolii si de cele mai multe ori tumora este descoperita intamplator in timpul investigatiilor efectuate pentru alte probleme medicale.
Principala cauza de aparitie a cancerului bronho-pulmonar este fumatul, dar s-au evidentiat si alte cauze, precum expunerea la radon,azbest, poluarea, dieta. De asemenea, studiile arata ca factorii genetici au un rol considerabil in aparitia acestui cancer.
Cea mai buna metoda prin care poti reduce riscul de cancer bronho-pulmonar este evitarea consumului de tutun. Fumatul ramane factorul etiologic principal incriminat pentru mai mult de 90% cazuri de cancer bronho-pulmonar. Pe langa aceasta, evita expunerea la radon, azbest, substante toxice, adopta o dieta sanatoasa, limiteaza consumul de alcool, adopta o dieta sanatoasa, practica sport, nu efectua radiografii sau computer tomograf daca nu este absolut necesar.

In cazul in care totusi prezentam acesti factori de risc, monitorizarile clinice, biologice si imagistice periodice sunt obligatorii pentru depistarea precoce. Tusea persistenta, care dureaza mai mult de cateva saptamani, care poate fi sau nu asociata cu astenie, inapetenta, scadere in greutate, trebuie sa fie investigata clinic si imagistic de catre un medic de specialitate, iar daca apare hemoptizia, pacientul trebuie urgent sa se prezinte la medic.
Nota de final :
Chiar daca zilnic avem dovezi ca munca noastra in oncologie nu e in zadar, bucuria mea ca medic radioterapeut oncolog este fara limite atunci cand pacientul raspunde la tratamentul efectuat. - Dr. Liga Georgeta, medic specialist radioterapie
20-02-2023
OncoFort Radioterapie

