Scleroza multiplă (scleroza în plăci) - Simptome, diagnostic și tratament
Doresc sa aflu mai multe detalii
Camp Obligatoriu
Camp Obligatoriu
Camp Obligatoriu
Eroare procesare - ReCaptcha nu a fost validat
This site is protected by reCAPTCHA and the Google
Privacy Policy and
Terms of Service apply.
Ce este scleroza multiplă (scleroză în plăci)?
Scleroza multiplă, numită și scleroza în plăci, este o boală cronică progresivă care atacă sistemul nervos central. Această afecțiune autoimună determină sistemul imunitar să atace greșit teaca de mielină, stratul protector al fibrelor nervoase din creier și măduva spinării. Practic, organismul se auto-atacă, afectând funcționarea normală a sistemului nervos.
În scleroza multiplă, demielinizarea duce la formarea de cicatrici (plăci sau leziuni) în țesutul nervos, afectând transmiterea semnalelor electrice dintre creier și corp. Consecința este o varietate largă de simptome neurologice, diferite de la o persoană la alta. Această variabilitate face ca fiecare caz de scleroză multiplă să fie unic.
Principalele caracteristici ale acestei afecțiuni sunt:
În scleroza multiplă, demielinizarea duce la formarea de cicatrici (plăci sau leziuni) în țesutul nervos, afectând transmiterea semnalelor electrice dintre creier și corp. Consecința este o varietate largă de simptome neurologice, diferite de la o persoană la alta. Această variabilitate face ca fiecare caz de scleroză multiplă să fie unic.
Principalele caracteristici ale acestei afecțiuni sunt:
- Apare mai ales la adulții tineri, între 20 și 40 de ani
- Este mai frecventă la femei decât la bărbați
- Evoluează imprevizibil, cu perioade de acutizare și de ameliorare
- Se manifestă prin simptome diverse, precum probleme de vedere, slăbiciune musculară, dificultăți de coordonare și oboseală
Deși scleroza multiplă nu se poate vindeca, există tratamente care pot încetini evoluția bolii, reduce frecvența puseelor și ameliora simptomele. O abordare eficientă implică combinarea tratamentelor medicamentoase cu fizioterapia, suportul psihologic și modificări ale stilului de viață. Aceste terapii ajută la menținerea unei calități a vieții cât mai bună.

Simptomele sclerozei multiple
Scleroza multiplă are o paletă largă de simptome, care variază de la un pacient la altul și pot evolua în timp. Printre cele mai comune simptome ale sclerozei multiple se numără:
- Oboseală accentuată și persistentă
- Probleme de vedere, cum ar fi vederea încețoșată sau dublă
- Dificultăți de mers și probleme de echilibru
- Senzații de amorțeală și furnicături în membre
- Slăbiciune musculară și spasme
- Probleme de coordonare și tremurături
- Dificultăți cognitive, inclusiv probleme de memorie și concentrare
Scleroza multiplă simptome timpurii
- Episoade de oboseală fără o cauză clară
- Tulburări vizuale temporare
- Senzații de furnicături sau amorțeală la nivelul extremităților
- Probleme ușoare de echilibru sau coordonare
Pe măsură ce boala avansează, pot apărea simptome mai grave, precum:
- Probleme de mobilitate și dificultăți la mers
- Disfuncții ale vezicii urinare și ale intestinului
- Tulburări cognitive mai accentuate
- Probleme de vorbire și de înghițire
- Dureri cronice
Depistarea acestor simptome ale sclerozei multiple și consultarea rapidă a unui medic specialist sunt foarte importante pentru un diagnostic precoce și începerea unui tratament adecvat. Acesta poate încetini progresia bolii și îmbunătăți calitatea vieții. Dar, dincolo de simptome, este important să înțelegem că există diferite tipuri de scleroză multiplă, fiecare cu particularitățile sale.

Tipuri de scleroza multiplă
Există patru forme principale de scleroza multiplă, fiecare cu caracteristici și evoluție specifice:
1. Scleroza multiplă recurent-remisivă (SMRR)
Aceasta este cea mai des întâlnită formă, afectând aproximativ 85% dintre pacienți. SMRR se caracterizează prin:
1. Scleroza multiplă recurent-remisivă (SMRR)
Aceasta este cea mai des întâlnită formă, afectând aproximativ 85% dintre pacienți. SMRR se caracterizează prin:
- Apariția bruscă a unor simptome noi sau agravarea celor existente (recăderi)
- Perioade de remisie parțială sau completă între crize
- Posibila acumulare treptată de dizabilități de-a lungul timpului
2. Scleroza multiplă secundar progresivă (SMSP)
Mulți dintre cei diagnosticați inițial cu SMRR evoluează către SMSP, care se manifestă prin:
- Agravarea constantă a simptomelor, cu sau fără recăderi
- Perioade de remisie mai rare
- Acumulare mai rapidă a dizabilităților
3. Scleroza multiplă primar progresivă (SMPP)
Aproximativ 10-15% dintre pacienți sunt diagnosticați cu această formă, marcată de:
- Agravarea continuă a simptomelor de la debut, fără recăderi sau remisii evidente
- Posibile perioade de stabilitate temporară
- Afectează în egală măsură bărbații și femeile, de obicei după 40 de ani
4. Scleroza multiplă progresiv-recidivantă (SMPR)
Aceasta este cea mai rară formă de scleroza multiplă, și se distinge prin:
- Evoluție progresivă a bolii de la început
- Recăderi acute suprapuse, cu sau fără recuperare completă
- Acumulare rapidă de dizabilități
Cunoașterea tipului specific de scleroza multiplă este importantă pentru gestionarea corectă a bolii și alegerea tratamentului potrivit. Un diagnostic timpuriu și un tratament rapid pot ajuta la încetinirea progresiei bolii și la îmbunătățirea calității vieții, indiferent de forma de SM. Odată ce am identificat tipurile de scleroză multiplă, pasul următor este diagnosticarea corectă a acesteia.
Diagnosticarea sclerozei multiple
Diagnosticarea sclerozei multiple este un proces complex, care necesită mai multe etape și investigații. Medicii neurologi folosesc o serie de metode pentru a stabili un diagnostic precis și a exclude alte afecțiuni cu simptome similare.
Examenul clinic neurologic
Primul pas în diagnosticarea sclerozei multiple este un examen neurologic complet. Medicul va evalua:
Examenul clinic neurologic
Primul pas în diagnosticarea sclerozei multiple este un examen neurologic complet. Medicul va evalua:
- Reflexele
- Coordonarea și echilibrul
- Forța musculară
- Sensibilitatea
- Funcția vizuală
Pentru a monitoriza evoluția pacientului, se folosește frecvent scala EDSS (Expanded Disability Status Scale) pentru a evalua gradul de dizabilitate.
Ai simptome care necesită atenția unui specialist? Programează-te acum la medicii neurologi din GRAL Medical! Programează-te online pentru a primi ajutorul de care ai nevoie.
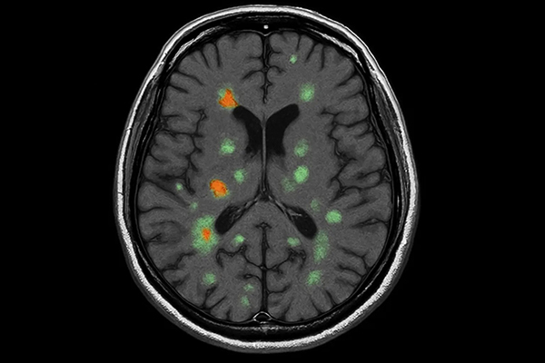
Imagistica prin rezonanță magnetică (RMN)
RMN-ul este o investigație esențială în diagnosticarea sclerozei multiple. Ajută la identificarea:
- Leziunilor caracteristice (plăci) la nivelul creierului și măduvei spinării
- Leziunilor active (cu contrast) și cronice
- Atrofiei cerebrale
Un RMN cerebral și medular oferă informații importante despre numărul leziunilor și activitatea bolii. Pentru a înțelege mai bine rolul acestei investigații, poți citi mai multe despre importanța RMN-ului în diagnosticarea diferitelor afecțiuni neurologice.
La GRAL Medical efectuam RMN, care te va ajuta să depistezi această afecțiune. Programează-te acum pentru un diagnostic precis și rapid!
Analize de sânge
Analizele de sânge în scleroza multiplă sunt importante pentru:
- Eliminarea altor afecțiuni cu simptome similare
- Evaluarea nivelului de vitamina D
- Verificarea prezenței markerilor inflamatori
La GRAL Medical poți efectua analizele de sânge de care ai nevoie. Programează-te acum și asigură-ți sănătatea!
Puncția lombară
Analiza lichidului cefalorahidian obținut prin puncție lombară poate oferi informații valoroase, mai ales pentru:
- Detectarea benzilor oligoclonale, specifice sclerozei multiple
- Excluderea altor afecțiuni inflamatorii sau infecțioase
Teste electrofiziologice
Aceste teste pot indica afectarea căilor nervoase și includ:
- Potențiale evocate vizuale
- Potențiale evocate somatosenzoriale
- Potențiale evocate auditive
Un diagnostic precoce și precis este esențial pentru începerea rapidă a tratamentului și gestionarea eficientă a bolii. După stabilirea diagnosticului, este crucial să se înceapă tratamentul adecvat pentru a încetini evoluția bolii.
Tratamentul sclerozei multiple
Tratamentul sclerozei multiple are ca scop reducerea frecvenței și severității recăderilor, încetinirea evoluției bolii și gestionarea simptomelor. Deși nu există un tratament care să vindece boala, există diverse opțiuni terapeutice care pot îmbunătăți semnificativ calitatea vieții.
Terapii modificatoare ale bolii
Alegerea tratamentului pentru scleroza multiplă depinde de forma bolii, severitatea simptomelor și profilul de siguranță al medicamentului.
Tratamentul recăderilor acute
În cazul recăderilor severe, se administrează de obicei:
Terapii modificatoare ale bolii
Alegerea tratamentului pentru scleroza multiplă depinde de forma bolii, severitatea simptomelor și profilul de siguranță al medicamentului.
Tratamentul recăderilor acute
În cazul recăderilor severe, se administrează de obicei:
- Corticosteroizi intravenos
- Plasmafereză (în cazurile care nu răspund la corticosteroizi)
Gestionarea simptomelor
Pentru ameliorarea simptomelor specifice, se pot prescrie diverse medicamente.
Terapii complementare
Pe lângă tratamentul medicamentos, sunt recomandate:
- Fizioterapia și exercițiile fizice adaptate
- Terapia ocupațională
- Suportul psihologic
- Modificări ale stilului de viață (dietă echilibrată, renunțarea la fumat)
Medicamente interzise în scleroza multiplă
Unele medicamente pot agrava simptomele sau pot interfera cu tratamentul sclerozei multiple:
- Anumite vaccinuri cu virusuri vii
- Anumite antibiotice
- Medicamente imunosupresoare puternice nespecifice pentru SM
- Unele medicamente pentru hipertensiune arterială
Este important ca pacienții să discute cu medicul neurolog înainte de a începe orice tratament nou, pentru a evita potențialele interacțiuni medicamentoase sau agravarea simptomelor.
Gestionarea eficientă a sclerozei multiple necesită o abordare personalizată și multidisciplinară, adaptată nevoilor fiecărui pacient. Monitorizarea regulată și ajustarea tratamentului pentru scleroza multiplă sunt esențiale pentru cele mai bune rezultate pe termen lung. Dar cum se trăiește cu această afecțiune pe termen lung?

Viața cu scleroza multiplă
Scleroza multiplă este o afecțiune cronică ce poate avea un impact important asupra vieții pacienților. Cu toate acestea, cu o gestionare adecvată, mulți reușesc să ducă o viață activă și plină de sens. Durata de viață cu scleroza multiplă a crescut semnificativ în ultimii ani, datorită progreselor în tratament și îngrijire.
Adaptarea la viața cu scleroza multiplă
Persoanele diagnosticate cu scleroza multiplă trebuie să se adapteze la diverse provocări:
Adaptarea la viața cu scleroza multiplă
Persoanele diagnosticate cu scleroza multiplă trebuie să se adapteze la diverse provocări:
- Gestionarea simptomelor fluctuante
- Adaptarea stilului de viață și a mediului
- Menținerea unei activități fizice regulate
- Gestionarea stresului și a sănătății emoționale
- Planificarea pe termen lung, ținând cont de evoluția bolii
Recuperarea în scleroza multiplă
Recuperarea în scleroza multiplă are un rol esențial în menținerea calității vieții. Aceasta poate include:
- Fizioterapie pentru îmbunătățirea mobilității și a echilibrului
- Terapie ocupațională pentru adaptarea la activitățile de zi cu zi
- Exerciții de recuperare cognitivă
- Terapii complementare, precum yoga sau acupunctura
Prognosticul și durata de viață (Cât poți trăi cu scleroză multiplă)
La întrebarea "Cât poți trăi cu scleroza multiplă?" nu există un singur răspuns. Studiile arată că:
- Speranța de viață a crescut semnificativ în ultimele decenii
- Majoritatea pacienților au o durată de viață apropiată de cea a populației generale
- Factorii care influențează prognosticul includ tipul de SM, vârsta la debut și răspunsul la tratament
Cu tratamentele actuale și o îngrijire adecvată, mulți pacienți cu scleroza multiplă pot trăi o viață lungă și productivă, menținându-și independența și calitatea vieții pentru o perioadă îndelungată. Pe lângă aspectele generale ale vieții cu scleroză multiplă, gestionarea simptomelor și complicațiilor este un aspect crucial.
Gestionarea simptomelor și complicațiilor
Gestionarea eficientă a simptomelor și complicațiilor este esențială pentru a îmbunătăți calitatea vieții pacienților cu scleroză multiplă. O abordare multidisciplinară este necesară pentru a trata manifestările diverse ale bolii.
Managementul durerii
Durerea în scleroza multiplă este un simptom frecvent și poate avea diverse cauze:
Managementul durerii
Durerea în scleroza multiplă este un simptom frecvent și poate avea diverse cauze:
- Durere neuropată, cauzată de leziunile nervoase
- Durere musculoscheletică, rezultată din modificările posturale sau spasticitate
- Durere asociată cu nevrita optică sau alte simptome acute
Tratamentul durerii poate include:
- Medicamente anticonvulsivante, precum gabapentina sau pregabalina
- Antidepresive triciclice
- Terapii fizice și exerciții adaptate
- Tehnici de relaxare și gestionarea stresului
Gestionarea oboselii
Oboseala este unul dintre cele mai invalidante simptome ale sclerozei multiple. Strategiile de management includ:
- Conservarea energiei și planificarea activităților
- Exerciții fizice moderate și regulate
- Terapie ocupațională
- Medicamente, precum amantadina sau modafinil, în cazuri severe
Managementul spasticității
Spasticitatea poate afecta semnificativ mobilitatea și confortul. Opțiunile de tratament includ:
- Exerciții de stretching și fizioterapie
- Medicamente antispastice
- Injecții locale cu toxină botulinică pentru spasticitate focală
Gestionarea unui puseu de scleroza multiplă
În cazul unui puseu acut, tratamentul standard constă în:
- Corticosteroizi administrați intravenos
- Plasmafereza în cazurile severe, care nu răspund la corticosteroizi
- Odihnă și evitarea factorilor declanșatori, precum infecțiile sau stresul
Managementul problemelor cognitive
Dificultățile cognitive pot afecta viața de zi cu zi. Abordările includ:
- Terapie cognitiv-comportamentală
- Exerciții de antrenament cognitiv
- Strategii compensatorii și ajutoare pentru memorie
- Medicamente care îmbunătățesc funcția cognitivă, în anumite cazuri
Gestionarea problemelor vezicale și intestinale
Aceste complicații sunt frecvente și pot fi gestionate prin:
- Modificări ale dietei și ale aportului de lichide
- Exerciții pentru întărirea mușchilor pelvieni
- Cateterizare intermitentă, în cazul retenției urinare
- Medicamente pentru controlul vezicii urinare sau al constipației
O abordare personalizată și o colaborare strânsă între pacient, neurolog și echipa multidisciplinară sunt esențiale pentru gestionarea eficientă a simptomelor și complicațiilor sclerozei multiple, îmbunătățind astfel calitatea vieții pacienților. Pentru a completa informațiile despre scleroza multiplă, este important să cunoaștem și bolile care pot fi confundate cu aceasta.
Boli asemănătoare cu scleroza multiplă
Diagnosticul de scleroză multiplă poate fi dificil de stabilit, deoarece există mai multe afecțiuni cu simptome similare. Aceste boli asemănătoare cu scleroza multiplă pot induce în eroare atât pacienții, cât și medicii, mai ales în stadiile incipiente.
Afecțiuni neurologice autoimune
Afecțiuni neurologice autoimune
- Neuromielita optică (NMO) afectează nervii optici și măduva spinării, provocând simptome similare SM.
- Encefalomielita acută diseminată (ADEM) este o inflamație a creierului și măduvei spinării, declanșată adesea de o infecție virală.
- Sindromul Guillain-Barré provoacă slăbiciune musculară progresivă, care poate imita simptomele motorii ale SM.
- Miastenia gravis este o afecțiune cu slăbiciune musculară fluctuantă, putând fi confundată cu SM.
Boli infecțioase
- Boala Lyme poate provoca simptome neurologice similare SM, dacă nu este tratată.
- Sifilisul, în stadiile avansate, poate afecta sistemul nervos, imitând simptomele SM.
- Leucoencefalopatia multifocală progresivă (LMP) este o infecție virală rară a creierului, cu simptome asemănătoare SM.
Afecțiuni vasculare
- Vasculita sistemului nervos central, adică inflamația vaselor de sânge din creier, poate provoca simptome similare SM.
- Sindromul antifosfolipidic este o tulburare autoimună care poate afecta circulația cerebrală.
Alte afecțiuni
- Sarcoidoza este o boală inflamatorie care poate afecta sistemul nervos.
- Deficiența de vitamina B12 poate provoca simptome neurologice asemănătoare SM.
- Migrena cu aură poate fi confundată cu simptomele vizuale ale SM.
Doar un specialist poate stabili cu certitudine dacă simptomele sunt cauzate de scleroza multiplă sau de o altă afecțiune. Un diagnostic precoce și corect este esențial pentru gestionarea eficientă a bolii și îmbunătățirea calității vieții pacientului.
Echipa noastră de medici de la GRAL Medical este aici pentru a te ajuta cu diagnosticare precisă și tratamente personalizate. Descoperă cum putem îmbunătăți sănătatea ta!
Plasmafereza – sprijin terapeutic în formele severe de scleroză multiplă
În formele agresive sau cu pusee acute de scleroză multiplă, plasmafereza poate fi utilizată ca terapie complementară atunci când tratamentele standard nu dau rezultatele așteptate. Procedura contribuie la eliminarea anticorpilor și a altor factori implicați în reacțiile autoimune care afectează sistemul nervos central.
Această opțiune terapeutică poate aduce o ameliorare semnificativă a simptomelor în anumite episoade ale bolii.
👉 Află mai multe și programează-te direct online: www.gralmedical.ro/plasmafereza
Pași următori pentru pacienții cu scleroză multiplă
Înțelegerea sclerozei multiple este un proces continuu, dar sperăm că acest articol a oferit o bază solidă. Dacă ați fost diagnosticat cu scleroză multiplă, este esențial să colaborați strâns cu echipa medicală pentru a dezvolta un plan de tratament personalizat. Nu ezitați să căutați sprijin emoțional de la familie, prieteni sau grupuri de suport. Informarea constantă și adoptarea unui stil de viață sănătos pot contribui semnificativ la gestionarea bolii și la menținerea unei calități a vieții cât mai bune. Fiți proactivi în îngrijirea sănătății și nu uitați că nu sunteți singuri în această călătorie.
Resurse suplimentare despre scleroza multiplă
Resurse suplimentare despre scleroza multiplă

